UK Coordinated | EU Dental Care
Precision dentistry. UK‑managed. Clinically delivered in Europe.
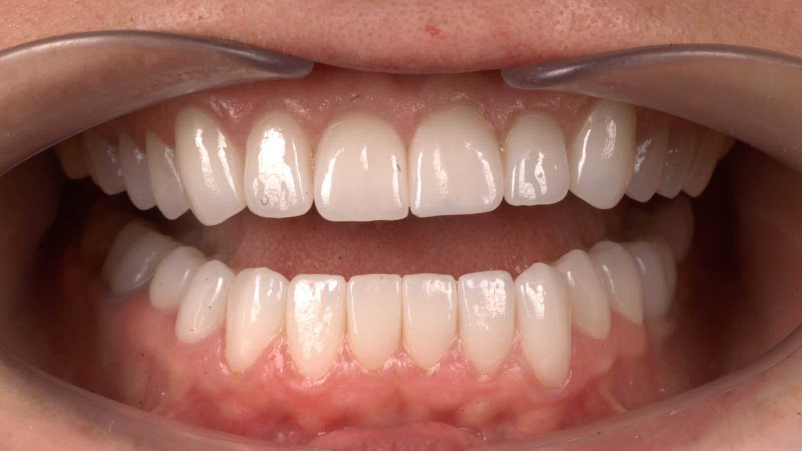
Full-mouth rehabilitation, implantology, and esthetic dentistry planned by our UK team and delivered at our Moldova clinical centre — with Swiss & German technology, an in-house lab, and 20+ years of complex-case experience.
Clinical technology we work with
How it works
UK coordination. European treatment. Seamless from start to finish.
Free remote consultation
Share your scans, X-rays, or photos online. Our UK team reviews your case and sends back an initial assessment within 48 hours.
UK (remote)
Treatment plan & pricing
You receive a detailed plan with stages, timelines, and transparent pricing. We answer every question before you commit.
UK (remote)
Clinical treatment
Travel to our Moldova clinical centre for treatment. Concentrated visit windows, daily coordinator contact, and accommodation support.
Moldova (in-clinic)
Follow-up & aftercare
Back home, your UK coordinator manages remote check-ins, monitors healing, and schedules any follow-up stages.
UK (remote)
Services
From single-tooth implants to full-mouth rehabilitation — every plan is built around your clinical reality.
Free AssessmentDental Implants
Full-arch rehabilitationTeeth in a dayGuided implant surgeryBone graftingBraces & Aligners
Fixed bracesClear alignersBite correctionRetention planningVeneers & Cosmetic
Porcelain veneersSmile designTeeth whiteningDigital previewRepair & Restoration
Crowns & bridgesRoot canal treatmentFull-mouth rehabIn-house lab prosthetics
Case Studies
Real patient outcomes documented end-to-end. Before, during, and after — with the protocols that made each result possible.
Ready for a clear treatment roadmap?
Share your imaging and case details. Our UK team will return a structured plan with timelines, stages, and transparent pricing.
700+
fixed-smile rehabilitations completed
20+
years in complex multidisciplinary cases
6
specialist disciplines under one roof
Patient reviews
Trusted by patients across Europe
Real reviews from real patients. See what others say about their experience with Dr. Mitachi.
Frequently asked by our patients
Who is a fixed full-arch solution suitable for?
It is usually recommended when many teeth are missing, unstable, or cannot be predictably restored. We confirm suitability after imaging and clinical evaluation.
Can I get fixed teeth in 24 hours?
In selected cases, temporary fixed teeth can be placed quickly after implant surgery. The final prosthetic phase follows tissue healing and digital checks.
Do you work with microscope-assisted treatment?
Yes. Microscopic dentistry is used where precision matters most, especially in endodontic and conservative procedures.
Is treatment painful?
Patient comfort is a priority. Local anesthesia and modern protocols are used to reduce pain and anxiety during procedures.
How does the UK + Moldova model work?
Your consultation and aftercare are coordinated from our UK office. Clinical treatment takes place at our fully equipped clinic in Moldova, offering significant cost advantages with no compromise on quality.
Do you provide diagnostics inside the clinic?
Yes. Most diagnostics are completed on-site in Moldova, which speeds up planning and reduces extra visits.
Do you treat children as well?
Yes. The clinic includes dedicated pediatric dental services with age-appropriate preventive and restorative care.









