
Veneer Smile Makeover with Digital Design
The patient felt her smile had lost its spark due to years of natural wear and tear that left her teeth looking uneven and chipped.
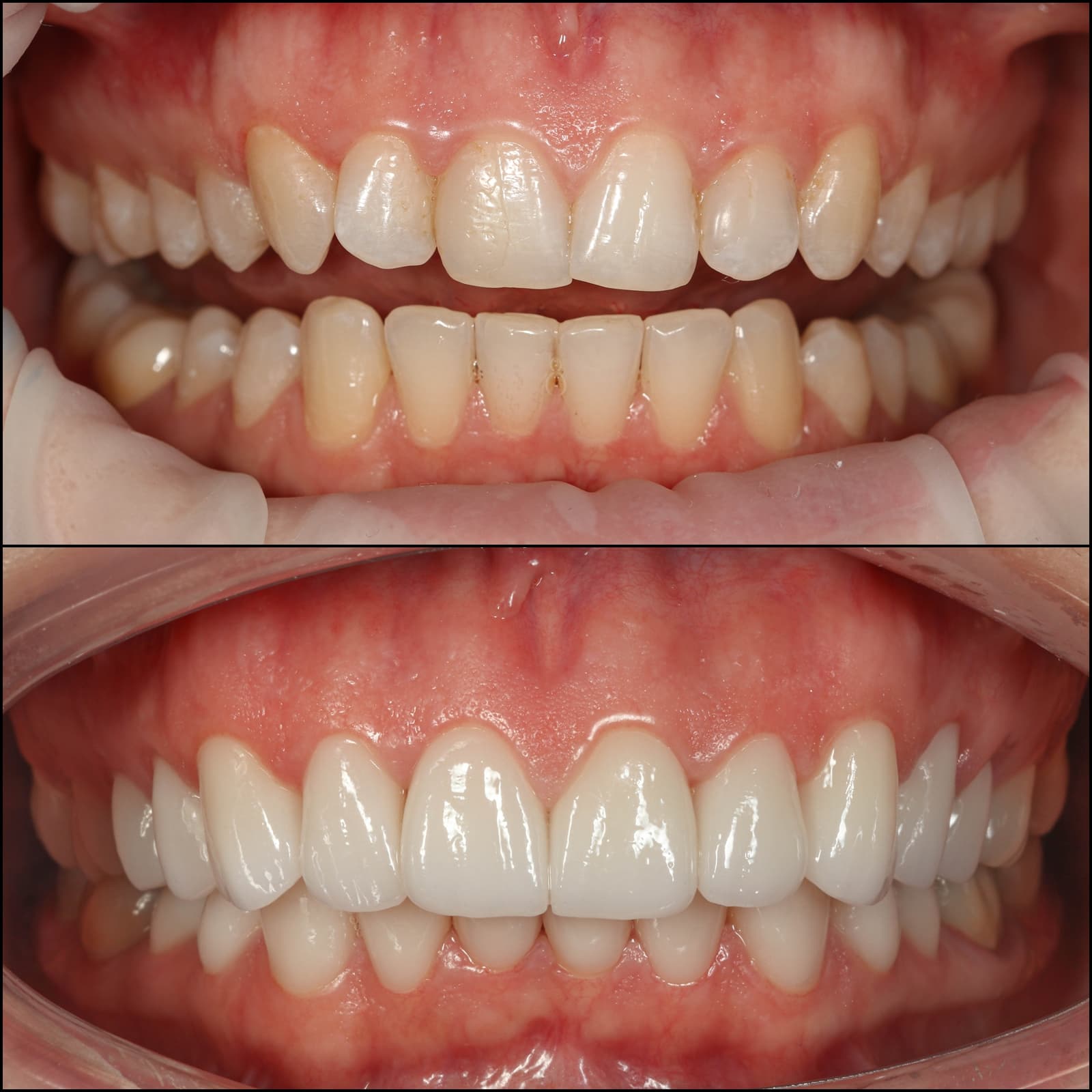
The Challenge
The patient felt her smile had lost its spark due to years of natural wear and tear that left her teeth looking uneven and chipped. She was specifically concerned about the different shades and irregular shapes of her front teeth, which made her smile feel unbalanced and aged.
Our Approach
We used advanced digital design to map out a smile that would perfectly fit her features, focusing on natural proportions and a brighter, more consistent shade. By choosing a conservative approach, we prepared the teeth for custom porcelain veneers across both arches, ensuring each piece was crafted for a precise fit and that lifelike, "see-through" quality seen in natural enamel.
Before & After


Results are unique to this patient and may vary based on individual clinical health and treatment plan.
Outcome
The final result is a radiant, symmetrical smile that looks completely natural. By correcting the tooth shapes and aligning the smile line, we gave her a refreshed appearance that restored her confidence and provided a durable, beautiful finish for years to come.
Technologies Used
Interested in a similar treatment?
Contact our UK coordination team for a personalised assessment.
Free Assessment